In corpore

Il lavoro “In corpore” nasce come un’esplorazione del corpo umano come la parte più vicina a noi che abitiamo da sempre e che, al suo interno, ha le sembianze di un pianeta estraneo.

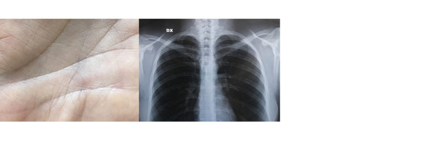
In questo progetto affianco fotografie di paesaggi terrestri, marini o lunari e fotografie di frazioni di corpi o immagini satellitari a scansioni interne al mio corpo: ecografie, risonanze, misurazioni a onde elettromagnetiche, analisi cromosomiche, doppler e radiografie. Nel corso dell’ultimo anno ho dovuto fare moltissime analisi ed ero molto incuriosita dalle sembianze che l’interno del mio corpo assumeva a seconda del tipo di indagine che veniva eseguita. Durante un eco-doppler delle vene guardavo nello schermo dello studio medico quella che sembrava una sonda spaziale che sorvola un pianeta extraterrestre, così è nato questo progetto in cui il corpo diventa un vero e proprio luogo da esplorare, protagonista di un viaggio alla scoperta di un’interiorità sconosciuta.

Questo progetto nasce per la residenza Sciame Mobile Residence di Sciame Project.Sono stata invitata a presentare una nuova ricerca “web-specific” che rispondesse al tema disabitare/disabituare.Binomio chiave utile per generare nuove domande, sopratutto sulle modalità di vita che l’essere umano attua a discapito del proprio habitat, della propria incolumità e quella di altre specie.